近日,曾因高空坠落致全身多发严重骨折的患者在内蒙古包钢医院骨科医学部经过近3个月的精准救治与康复,顺利出院。如今患者可自主坐起,在拄双拐左下肢免负重状态下下地活动,左膝关节屈曲可达 120°,各项功能逐步恢复正常。这一救治成功的背后,离不开医院多学科团队的协同攻坚,更得益于抗生素骨水泥技术的关键应用。

2025年6月,一名工地高空作业人员不慎从 5-6 米高处坠落,双下肢先着地后双手撑地,当即出现剧烈肢体疼痛。工友紧急拨打120后,患者被送往内蒙古包钢医院急诊科。
骨科二区薛浩主治医师接诊后查体发现,患者左大腿远端有一长约 15cm 开放性伤口,伴活动性出血且局部污染严重;左前臂、头部等多处有散在皮擦伤,左前臂、腰背部、右大腿近端及右肩疼痛明显、活动受限,末梢血运差,眼睑及甲床苍白。影像学及 CT 检查明确诊断:开放性左股骨远端粉碎性骨折、右股骨近端粉碎性骨折、腰 1 椎体爆裂性骨折等 16 项损伤,其中包括失血性休克、创伤性湿肺、双侧胸腔积液等危及生命的并发症,病情凶险复杂。
患者入院后,骨科二区冉博主任迅速组织团队评估病情,梳理出三大核心治疗难点:一是多发骨折伴大量失血,失血性休克危及生命;二是左膝开放性伤口污染严重,合并多部位骨折需分期手术,创伤大、感染风险极高;三是复合胸部外伤等情况,患者麻醉耐受度差,长期卧床并发症风险高。

“生命至上” 是救治的核心原则。医院立即启动多学科协作机制,骨科牵头联动影像科、重症监护室、心胸血管外科、麻醉手术科等多科室,快速制定个体化分期治疗方案。到院当晚,急诊手术率先开展:对左膝部开放性伤口彻底清创,因骨质缺损多且污染严重,术中创新性使用抗生素骨水泥填充缺损区域,同时以外固定架临时固定左下肢,并行右胫骨骨牵引术。

开放性骨折尤其是 Gustilo ⅢB 型骨折,合并严重骨与软组织缺损时,术后感染、肢体坏死甚至截肢风险极高。传统清创后低剂量细菌仍可能残留,易形成细菌生物膜引发感染。而抗生素骨水泥可直接规避细菌黏附与生物膜形成,同时局部释放高浓度抗生素,杀灭伤口周围细菌,为内固定物提供 “自净保护”,有效降低感染率、促进创面愈合。
经过首轮急诊救治,患者开放性创面暂时封闭,生命体征趋于平稳。骨科随后有序推进分期手术:
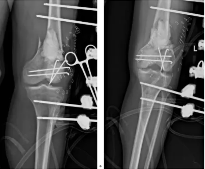
6月9日,为患者实施右股骨、左桡骨、腰 1 椎体爆裂性骨折复位内固定术,同时对左股骨远端开放性骨折再次清创,确认伤口无感染迹象,基底长出新鲜肉芽组织;
6月20日,左股骨远端开放性骨折创面血运良好,顺利完成皮肤缝合;

8月7日,动态监测显示患者各项炎症指标逐步下降,多次分泌物培养均无细菌生长,床旁拆除外固定架,改用左下肢支具保护;
8月26日,实施开放性左股骨远端粉碎性骨折坏死组织切除性清创术,取出原有内固定物,采用万古霉素抗生素骨水泥钢板内固定术,彻底稳固骨折部位。
术后,为患者提供镇痛、消肿、预防感染及下肢深静脉血栓等综合治疗,并指导其开展左膝关节屈伸功能锻炼。经过近3个月的系统救治与康复,患者各切口愈合良好,肢体功能基本恢复,顺利达到出院标准。

内蒙古包钢医院骨科医学部作为包头市骨科重点学科、内蒙古医学院硕士研究生培养点,拥有一支以知名专家为领军、中青年骨干为中坚的医疗团队,诊疗范围覆盖创伤、脊柱、关节矫形等多个领域。
此次严重多发伤的成功救治,再次彰显了医院在骨科创伤救治领域的技术实力与多学科协作优势。未来,医院将继续秉承 “敬佑生命、救死扶伤”的医者精神,以更精湛的医术为患者生命健康保驾护航。